آیا میدانید زمان مناسب برای ایمپلنت دندان چه زمانی است؟ یکی از مهمترین مراحل کاشت ایمپلنت دندان، تعیین زمان مناسب برای ایمپلنت بعد از کشیدن دندان است. همانطور که میدانید ایمپلنت دندان جزو یکی از نوآورانهترین روشهای جایگزینی دندانهای از دسته رفته است که امروزه طرفداران زیادی دارد. یکی از رایجترین سوالاتی که در خصوص کاشت ایمپلنت برای مراجعین به وجود میآید، زمان مناسب برای انجام آن است. اگر این موضوع دغدغه ذهنی شما هم هست، با ما در ادامه همراه باشید تا اطلاعات کاملی در این خصوص به دست آورید.

ایمپلنت دندان چیست و چرا اهمیت دارد؟
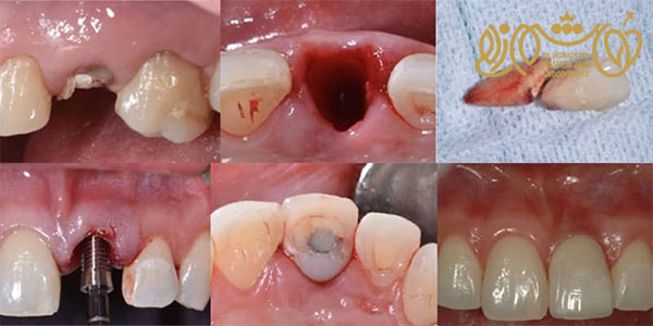
قبل از تعیین زمان مناسب برای ایمپلنت دندان، ابتدا بهتر است تا ببینیم منظور از کاشت ایمپلنت چیست و چه پروسهای دارد؟ کاشت ایمپلنت دندان در اسلامشهر و نسیمشهر با کشیدن دندانهای طبیعی آغاز میشود. زمانی که امکان ترمیم دندان طبیعی به دلیل پوسیدگی عمیق وجود نداشته باشد، پزشک به ناچار دندان را میکشد. یکی از بهترین روشها برای جایگزینی دندان از دست رفته، ایمپلنت است. در این روش، نوعی پایه فلزی که از جنس تیتانیوم است، به صورت جراحی داخل فک قرار میگیرد و با استخوان فک جوش میخورد. این پایه تیتانیومی حکم ریشه دندان را دارد. پس از اینکه ایمپلنت با استخوان فک به طور کامل جوش خورد، دندان مصنوعی روی آن نصب میشود. بدین ترتیب دندان طبیعی از دست رفته با یکی از بهترین و موثرترین روشها جایگزین میشود.
همانطور که میدانید دندانها هم در زیبایی و هم در سلامت ما نقش بسیار مهم و پررنگی دارند. بدین ترتیب زمانی که آنها را از دست میدهیم باید با استفاده از بهترین روشها به فکر جایگزینی باشیم. کاشت ایمپلنت دندان بهترین روش جایگزینی است که هم از ماندگاری بالایی برخوردار میباشد و هم عملکرد آن در بین سایر روشهای رایج، بیشترین شباهت به عملکرد دندان طبیعی را دارد.

زمان مناسب برای ایمپلنت دندان چه زمانی است؟
انتخاب زمان مناسب برای ایمپلنت به یک سری فاکتورهای مختلف بستگی دارد. وضعیت لثه، تراکم استخوان فک، شرایط جسمانی فرد، روش کشیدن دندان و… همگی جزو موارد موثری هستند که برای تعیین زمان مناسب برای ایمپلنت باید در نظر گرفت. شاید برایتان جالب باشد تا بدانید در برخی مواقع میتوان بلافاصله پس از کشیدن دندان، ایمپلنت را انجام داد؛ البته به شرط اینکه استخوان فک و بافت لثه کاملا سالم باشند. در ادامه انواع روشهای کاشت ایمپلنت دندان به همراه مدت زمان لازم برای آمادهسازی فک و لثه را برایتان عنوان میکنیم.
ایمپلنت فوری
زمان مناسب برای ایمپلنت دندان در اسلامشهر به صورت فوری، بلافاصله بعد از کشیدن دندان است. در صورتی که بافت استخوان فک و لثه سالم باشد، می توان بلافاصله بعد از کشیدن دندان، پایههای ایمپلنت را داخل استخوان فک جای گذاری کرد.
ایمپلنت کوتاهمدت
کاشت ایمپلنت دندان در اسلامشهر و نسیمشهر به صورت زودهنگام زمانی اتفاق میافتد که بافت لثه و استخوان به ترمیم نیاز داشته باشد. معمولا بین ۲ تا ۴ ماه زمان لازم است تا استخوان فک ترمیم شود. پس از آن میتوان ایمپلنت را انجام داد.
ایمپلنت بلندمدت
زمان مناسب برای ایمپلنت دندان برای افراد مختلف، متفاوت است. گاهی اوقات نیاز است تا بین ۳ تا ۶ ماه وقفه بین کشیدن دندان و کاشت ایمپلنت وجود داشته باشد تا استخوان فک و لثه بیمار به خوبی ترمیم شود.

فاکتورهای موثر بر تعیین زمان مناسب برای ایمپلنت دندان
یک سری فاکتورها، زمان مناسب برای ایمپلنت دندان را تعیین میکنند. البته در نظر داشته باشید که صلاحدید پزشک در این زمینه بسیار مهم است. در ادامه به این فاکتورهای مهم اشاره خواهیم داشت.
روش کشیدن دندان
ایمپلنت دندان در اسلامشهر بعد از کشیدن دندان انجام میشود. روش کشیدن دندان رابطه مستقیمی با زمان مناسب برای انجام ایمپلنت دارد. بعضی از افراد با روشهای معمولی و بعضی دیگر با روشها جراحی دندانشان را میکشند که این موضوع بر روند بهبودی استخوان فک و بافت نرم لثه تاثیر میگذارد.
تراکم استخوان فک
یکی دیگر از فاکتورهای موثر زمان مناسب برای ایمپلنت دندان، تراکم استخوان فک است. لازم است تا استخوان فک تراکم کافی برای نگهداری از ایمپلنت را داشته باشد.
وضعیت حفره دندان
پزشک قبل از جراحی کاشت ایمپلنت وضعیت حفره دندان را بررسی میکند. محل خالی دندان باید شرایط مناسبی برای کاشت داشته باشد.
سلامت عمومی بیمار
برخی از بیماریهای زمینهای مثل دیابت، روند جراحی ایمپلنت را تحت تاثیر قرار میدهند. پزشک با بررسی وضعیت سلامت عمومی بیمار، زمان مناسب برای ایمپلنت دندان را مشخص میکند.
چند توصیه مهم برای بیماران
در خصوص زمان مناسب برای ایمپلنت دندان لازم است تا به چند توصیه مهم توجه داشته باشید. این توصیهها را در ادامه برایتان لیست کردهایم.
- حتما پس از کشیدن دندان، برای جلوگیری از تحلیل رفتن استخوانها به دندانپزشک مراجعه کرده و به توصیههای وی عمل کنید.
- مراقبتهای پس از کشیدن دندان را به خوبی انجام دهید تا شرایط کاشت ایمپلنت برای شما فراهم شود.
- برای تسریع در روند بهبودی و درمان، از مصرف مشروبات الکلی و دخانیات پرهیز کنید.
- بهتر است تا در خصوص تعیین زمان مناسب برای ایمپلنت دندان حتما به تجربیات و نظر دندانپزشک توجه داشته باشید.
- تاخیر در کاشت ایمپلنت دندان ممکن است پروسه درمانی شما را پیچیدهتر و پرهزینهتر کند. حتما به این موضوع توجه داشته باشید و در زمان مناسب برای کاشت ایمپلنت دندان اقدام کنید.

انجام خدمات کاشت ایمپلنت دندان در کلینیک دکتر محدثه هاشمزهی
انتخاب جراح و متخصص کاشت ایمپلنت در منطقهای که زندگی میکنید، اهمیت بسیار زیادی دارد. با توجه به اینکه کاشت ایمپلنت دندان در یک جلسه اتفاق نمیافتد، لازم است تا چندین مرتبه به کلینیک دندانپزشکی مراجعه داشته باشید. بدین منظور میتوانید به کلینیک دندانپزشکی دکتر محدثه هاشمزهی مراجعه نمایید و کلیه خدمات مربوط به کشیدن دندان، ایمپلنت و… را انجام دهید. در نظر داشته باشید که دسترسی آسانتر به جلسات پیگیری و معاینه، روند درمانی شما را آسانتر میکند. همچنین میتوانید میزان رضایت مراجعین قبلی را به صورت حضوری بررسی کنید.
در کلینیک دندانپزشکی دکتر محدثه هاشمزهی میتوانید کلیه خدمات مربوط به ایمپلنت دندان را زیر نظر پزشک متخصص و باتجربه، باکیفیت بالا و هزینهای مناسب انجام دهید.
سخن پایانی
زمان مناسب برای ایمپلنت دندان باید با توجه به شرایط شما و صلاحدید پزشک تعیین شود. در این بخش اطلاعات کاملی در این خصوص در اختیارتان قرار دادیم. با توجه به مواردی که به آنها اشاره شد، میتوانید زمان تقریبی کاشت ایمپلنت دندان را تخمین بزنید. با مراجعه به کلینیک دندانپزشکی دکتر هاشمزهی ضمن بهرهمندی از خدمات حرفهای و تخصصی میتوانید در بهترین بازه زمانی برای کاشت ایمپلنت اقدام نمایید.